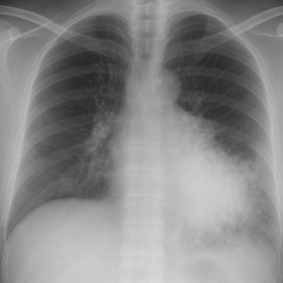
Learn how to diagnose and manage aspiration pneumonia in the ED with a twist. There's a board test answer and a "real life" answer for this one…Let's talk risk factors, key imaging findings, antibiotic choices, and when to worry.
Want to experience the greatest in board studying? Check out our interactive question bank podcast- the FIRST of its kind at here.
Cite this podcast as: Briggs, Blake. 257. Aspiration Pneumonia: ED diagnosis, treatment. May 26th, 2025. Accessed [date].
May 25, 202509:37