The Israel Association for Emergency Medicine

PODCAST: Aspiration Pneumonia in the ED: Diagnosis & Management

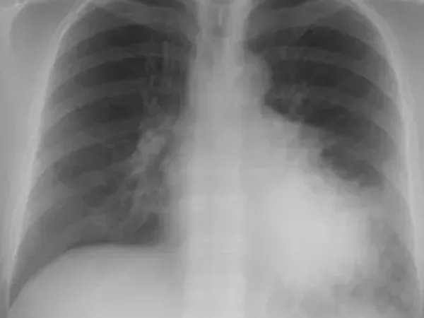
aspiration pneumonia

Aspiration Pneumonia in the ED: Diagnosis & Management

Learn how to diagnose and manage aspiration pneumonia in the ED with a twist. There's a board test answer and a "real life" answer for this one…Let's talk risk factors, key imaging findings, antibiotic choices, and when to worry.

Want to experience the greatest in board studying? Check out our interactive question bank podcast- the FIRST of its kind at here.

Cite this podcast as: Briggs, Blake. 257. Aspiration Pneumonia: ED diagnosis, treatment. May 26th, 2025. Accessed [date].

⁠Check out our Youtube channel!⁠

May 25, 202509:37
פרסומים נוספים

כניסה לאתר

Verified by MonsterInsights